Как выглядит червяк под микроскопом
Дождевые черви распространены по всей Земле, их нельзя встретить лишь во льдах Антарктиды. Всего насчитывается около 300 разных видов этих беспозвоночных животных. У исследователей особый интерес вызывает устройство их мышечной системы, ведь именно благодаря ей черви способны прокладывать в земле тоннели длиной до 2–3 метров.
Что можно увидеть под микроскопом?
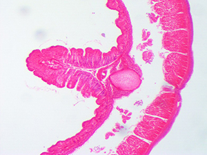
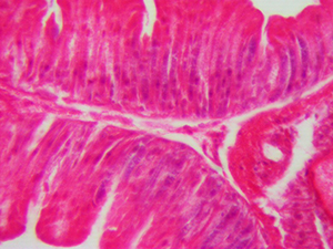
Чтобы изучить червяка под микроскопом, рекомендуем использовать поперечный срез. Наблюдения лучше начать с небольшой кратности в 40х – это позволит увидеть общую картину. Затем увеличение следует плавно изменить до 100–400 крат. Изучая дождевого червя под микроскопом, под слоем кожи можно увидеть мышцы, спинной мозг, кровеносный сосуд и пищеварительную систему. Устроено все действительно просто, работает эффективно и позволяет дождевым червям благополучно существовать уже много миллионов лет.
Интересные факты про дождевых червей:
- Дождевые черви любят жить под газонами: в одном квадратном метре может жить до 500 особей.
- Тело червя состоит из отдельных сегментов и целиком пронизано продольными и поперечными мышцами (мышцы дождевого червя под микроскопом можно увидеть на фото выше).
- Существуют дождевые черви длиной около 3 метров (некоторые южноамериканские виды).
- Самые ранние предки современных червей были обнаружены в слоях пород возрастом около 600 млн лет).
Какой микроскоп выбрать и нужно ли резать червяка самостоятельно?
Для изучения внутреннего устройства червяка под микроскопом – несколько фото приложено к статье – используется готовый микропрепарат «Поперечный срез дождевого червя». Он входит во многие наборы, например в набор микропрепаратов Levenhuk N80 NG «Увидеть все!» . Это самый простой способ рассмотреть это беспозвоночное во всех деталях. Микропрепарат можно изучать на любых световых и цифровых микроскопах, используя метод светлого поля в проходящем свете. Подойдут даже детские модели с небольшим увеличением. Если вы сомневаетесь в выборе – обратитесь к консультантам нашего интернет-магазина, и мы постараемся вам помочь.
Использование материала полностью для общедоступной публикации на носителях информации и любых форматов запрещено. Разрешено упоминание статьи с активной ссылкой на сайт www.4glaza.ru.
Производитель оставляет за собой право вносить любые изменения в стоимость, модельный ряд и технические характеристики или прекращать производство изделия без предварительного уведомления.


